目に見えない歯科矯正学の誤解を説明する

「目に見えない修正は単純なケースしかできません」
実際、目に見えない歯列矯正は、間隔、混雑、クロスバイト、オーバーバイト、深い咬傷など、単純なものから複雑なものまで、ほぼすべての一般的な歯の矯正の問題を治療できます。
ケーススタディ
これは軽度の骨格クラスIIIの症例であり、上部および下部の前部収縮と組み合わせてより低いモル遠位化が必要です。 モル遠位化が大きいため、この場合はかなりの固定が必要であり、修正がより困難になります。

この場合、VinciSmileの目に見えない歯科矯正技術は、インプラントの固定と組み合わせて、治療全体に完全に適用されます。 治療後、臼歯関係は中立になり、前部オーバーバイトとオーバージェットが正常に戻り、正中線が整列し、尖頭間閉塞関係が修正され、理想的な治療結果が達成されます。
「目に見えない修正には年齢制限があります。 年配または若い人は目に見えない修正をすることはできません。

目に見えない歯科矯正治療の正確な年齢制限はありません。 通常、歯科専門家が持つ唯一の要件は、健康な歯と歯茎です。
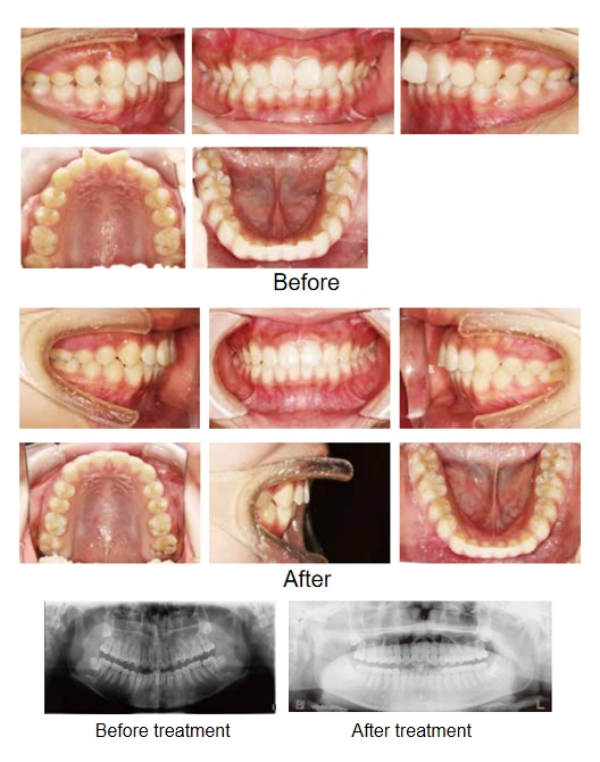
ケーススタディ
この場合の患者は13歳で、歯がずれています。 混合歯列段階の後に不正咬合が発生し、患者は治療を受けたことがありません。

VinciSmileの目に見えない歯列矯正技術は、アンカーサポートを備えた上臼歯遠位化に適用され、遠位化空間は整列と後退に利用されます。 治療後、両側犬歯は小臼歯と中立的な関係になり、オーバージェットは正常範囲内に修正されます。 Speeの曲線が修正され、前方オーバーバイトが正常に戻ります。 さらに、上部中央切歯の回転が修正されました。
「目に見えない治療中に歯の表面に接着されたアタッチメントはありません。
従来の方法と比較して、目に見えない歯科矯正はブラケットとワイヤーを使用しません。 しかし、多くの場合、成功した結果を達成するために歯に接着しなければならない「アタッチメント」がまだあります。 それらのいくつかは歯の動きを助けるために使用されますが、他のものは歯列矯正の保持のために使用されます。
ケーススタディ
この事件の主な不満は混雑した歯です。 私たちのVinciSmile治療計画は、歯14と24を抽出し、後歯をメシライズしてクラスIIの関係に修正し、上前歯を引っ込めてオーバージェット関係を修正し、IPRを追加するように設計しています。 プロセス中、垂直長方形のアタッチメントを使用して、歯の保持、歯根の制御、およびメシライゼーションを支援します。

目に見えない歯列矯正治療の24ヶ月を通して、以下の結果が達成されます。
1.上下の歯をまっすぐにし、整列させた。
2.モルは完全なdistoocclusionに修正されました;
3.通常のオーバーバイトとオーバージェット。

English
日本語
français
Deutsch
Español
русский
português