TempFIT: クラウン & ブリッジの次のレベルのテンポリゼーション

一時化手順をより信頼性が高く、効率的で、患者にとって快適にするように設計された、新たにFDAが承認した一時化資料であるTempFITを導入できることを誇りに思います。

* リクエストに応じて利用可能なサンプル。
TempFITは、クラウン、ブリッジ、インレイ、オンレイ、部分クラウン、ベニアなどの一時的な歯科修復物を製造するために設計されています。 Ltは、シンプルで高速な処理プロセスで、優れた美学と色の安定性を提供します。
樹脂は、優れた物理的特性、パルプの安全性のための低い重合温度、優れた生体適合性を提供し、不快な臭いや味がありません。
一時的な材料が重要な理由
一時的な材料は、修復歯科の重要なステップです。 よくできた一時形は以下を助けます:
・治療段階でパルプと歯肉を保護する
・準備後の咬合と歯の位置を維持する
・美学と機能をすぐに復元する
・最適な歯肉の結果を得るために、インプラントケースの軟部組織の形成をガイドします
・最終的な復元の前に、美学と機能の両方で最終結果をプレビューします

なぜTempFITを選ぶか
信頼できるパフォーマンス:
治療期間を通して安定している抗骨折耐性の一時形
バランス処理:
耐久性を損なうことなく、簡単なトリミング、取り外し、および再セメント化
効率的なワークフロー:
マルチユニットケースに十分な作業時間で約1分で口腔内を設定します
患者の快適さ:
エステルの結果:
プラークの蓄積に抵抗する滑らかで研磨可能な表面を備えたナチュラルシェードオプション (A1、A2、A3、A3.5、B1、B3、C2、BL)

あなたの練習のためのスマートな利点
スマート配信:
TempFITは、PERFITディスペンシングガンと完全に互換性のあるオートマチックシステムで利用できます。 その最適化された設計は、材料廃棄物を最小限に抑え、効率を最大化します。
費用効果の高いパックのサイズ:
各75gカートリッジは、約60のシングルクラウンまたは約30の3ユニットブリッジを生成し、毎日の時間的ニーズに高い生産性を提供します。
高速 & 便利な椅子のソリューション:
ワークフローの簡素化により、一時的な修復物を数分ですばやく作成できるため、臨床効率が向上します。

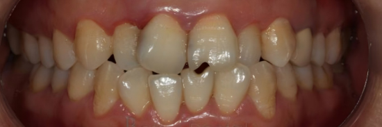
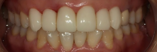
暫定美的臨床症例
手術前のビュー妥協した歯の構造と美学を示しています。

VSです。
暫定復元形態、日陰、歯肉の調和が改善されています。

TempFITを最初に体験してください!
TempFITは現在、世界中でサンプリングを開始しています。
あなたのサンプルを要求し、違いを経験するために今日手を差し伸べないでください。
English
日本語
français
Deutsch
Español
русский
português