VinciSmileクリアアライナーのケーススタディ

上顎の中程度の混雑、下顎の穏やかな混雑、歯41の先天性欠損、深いオーバーバイトとオーバージェット、24と25は34と35のシザーバイト、前歯のボルトンの不一致、口腔衛生の悪さ。 適切なIPRによる上顎臼歯の遠位化、上顎弓の狭小化、下顎弓の拡張、クラスIIの牽引力は、尖頭から窩への閉塞および前歯の正常なオーバーバイトおよびオーバージェットとの良好な後部関係を確立し、治療期間は2。5年です。
3Dスキーム

治療前
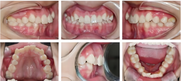
エクストラオーラル写真
正面分析: 顔の対称性が観察されました。
プロファイル分析: マンディバルレトログナリズム。

口腔内写真
矢状平面の問題: クラスIIの不正咬合、深いオーバーバイト。
垂直平面の問題: 前歯の深いオーバーバイト。
水平面の問題: 顎歯列弓は中央部で幅が広すぎますが、下顎歯列弓は狭いです。
歯科用アーチの問題: 混雑したへこみアルアーチ、左側の小臼歯の両側のはさみの咬傷。

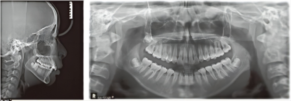
X線

治療中
口腔内写真

治療後
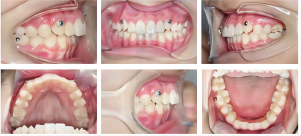
エクストラオーラル写真
顔のプロファイルは、対流性が低下すると改善され、あごの位置は安定しています。 笑顔の写真に顕著な改善があります。

口腔内写真
混雑は緩和され、Spee curvEは平準化される。 両側臼歯と犬歯の間には中立的な関係があり、深いオーバーバイトが修正されています。

X線

医師の概要
1. MolarのdistalizationはVinciSmileの処置の主要な利点です。 この場合、患者は上顎の親知らずを抜こうとはしないため、遠位運動が制限されます。
2.シザーバイトの程度はそれほど厳しくないので、前シザーバイトの解像度はスムーズに進んだ。 したがって、ワニの固有のスプリント効果は、治療中の咬合干渉を減らすのに役立ちました。
3. VinciSmileは、微細なギャップの制御と計算において優れたパフォーマンスを示しています。 この場合の上顎IPRは安全な範囲内にあり、正確なIPR制御のために医師が必要とする高精度を強調しています。

English
日本語
français
Deutsch
Español
русский
português