デジタルガイド付き美容ベニヤ修復

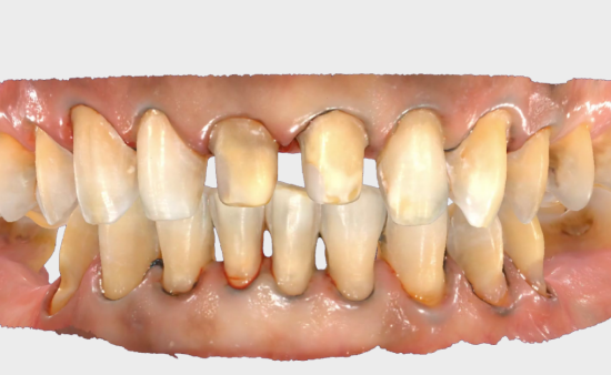
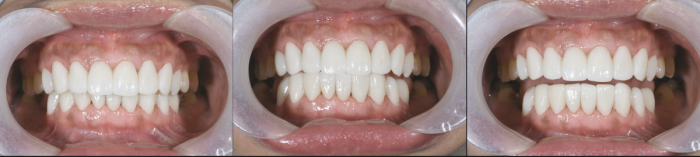
デジタルベニヤは、歯が折れたり、欠けたり、短くなったり、変色したりした人や、長くて複雑な歯科矯正処置を受けずに完璧な笑顔を求めている人に理想的な歯科治療を提供します。
今日、実際の症例治療プロセスに基づいて、私たちはあなたを紹介します巨大なデジタルベニヤソリューションをご参照ください。
ステップ1: データ収集
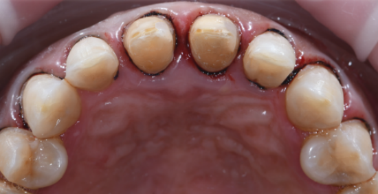
セラミックベニアの場合、低侵襲アプローチで最小限の歯構造の縮小を使用することをお勧めします。

デジタルガイド付きベニヤ準備ワークフローは、CADソフトウェアを使用して最終的なベニヤに必要な最小厚さを計算することにより、正確な歯の減少を保証します。

正確で、正確で、速い

精度 ≤ 7μm
精密 ≤ 5μm
ステップ2: コンピュータ支援デザイン
ベニアの設計中に、モックアップデータをインポートして、最終的なプロテーゼが患者の期待を満たしていることを確認します。

ステップ3: ベニヤ制造とモデル印刷
3Dプリンターでレジンキャストを取得するには
フライス盤によるベニヤの製造

スピード、精度、成功を提供します。 9.25インチの6K白黒LCD画面は、アライナー、スタディモデル、入れ歯、スプリントなどの上下のアーチ全体を処理できます。

NOBILCAM-5Xはミクロンレベルの精度と高い信頼性を持つ5軸ドライカッティングマシンです。 固体カーバイドNOBILCAMフライングバーと組み合わせて、ジルコニア、チタン、ケイ酸リチウム、PMMA、その他の樹脂の製粉に最適です。

ステップ4: ベニヤのセメント
新しい打ち上げ:TopCEMのベニヤシステム
磁器/セラミックおよび複合材料の材料から作られたベニヤの永久的なセメント化のため。


1.印象的な物理的特性

トータルエッチング技術によるガラスセラミックへの結合強度: 36.8Mpa
* 巨大なラボからのデータ
2. Excellentカラー安定性

HugeBondユニバーサルFliProライトキュア歯科用接着剤

1.8Th生成ユニバーサルアプリケーションとの接着剤
2.含むMDPモノマーこれは、直接的および間接的な修復への化学的接着を強化します。

修復後、有益な口腔内機能が観察されました。

English
日本語
français
Deutsch
Español
русский
português